Исправление прикуса элайнерами
- Осмотр состояния полости рта
- Составление сметы лечения
Элайнеры — это методика лечения, которая считается сегодня одной из самых современных и не травматичных.
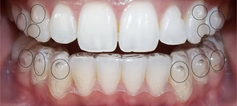
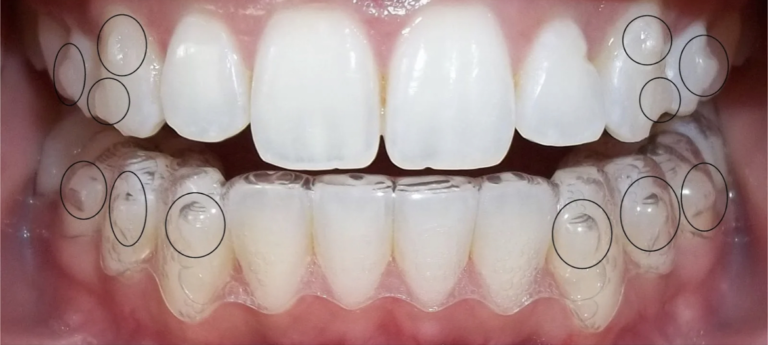
Элайнеры — это легчайшие прозрачные каппы из твердого полимера.
Показаны ли каппы именно вам?
Это точно сможет определить только врач – причем не по фото, а только на очном приеме. После осмотра и диагностики врачи клиник «АЙСБЕРГ +» подберут для вас наиболее эффективную методику коррекции прикуса.
Каждая капа носится две недели по 22 часа в сутки. Снимаются только на время приёма пищи и чистку зубов. Затем она заменяется на следующую, которая едва заметно отличается.
Помимо элайнеров на зубы на период лечения устанавливаются аттачмены, как точка давления для перемещения зубов.


Плюсы и минусы элайнеров
Плюсы: самая незаметная система.
Минусы: влияет на дикцию в первые несколько недель.
Минусы: влияет на дикцию в первые несколько недель.
Как проходит подготовка к лечению?
-
Перед началом ортодонтического лечения в обязательном порядке проводится диагностика.
-
Диагностика необходима для составления комплексного плана лечения.
-
Фото лица и зубов.
-
Снятие слепков (оттисков) для расчета размера зубов.
-
Рентгенологические снимки: КТ верхней и нижней челюсти или ОПТГ. ТРГ снимок для ортодонтических расчетов.

Здоровые и ровные
зубы в любом
возрасте
Идеальная улыбка без ношения брекетов
Залог качественного и безболезненного лечения зубов —
выбор квалифицированного врача
ЗАПИСАТЬСЯ НА ПРИЁМ
Заполните ваше имя
Укажите верный номер телефон
ЭТО БЕСПЛАТНО И НИ К ЧЕМУ ВАС НЕ ОБЯЗЫВАЕТ
Нажимая на кнопку “Отправить” вы соглашаетесь с политикой конфиденциальности данного сайта.
Часто спрашивают на приеме у врача
На вопросы отвечает:
Седлов Владимир Игоревич
стоматолог-ортодонт
Как работают элайнеры и как они смещают зубы?
Научно доказано, что небольшое постоянное давление на зубы приводит к изменениям структуры костной ткани. Так, со стороны зуба, куда направлено давление, костная ткань постепенно рассасывается, а с противоположной стороны, наоборот, разрастается.
В результате изменений в альвеолярном гребне, зубы двигаются в нужном направлении. Это давление как раз обеспечивают силиконовые капы, которые пациент поочередно меняет в течение курса лечения.
А это больно?
Вы привыкаете к ним очень быстро и, как правило, вообще перестаете чувствовать на зубах.
Нужно ли удалять зубы при лечении на элайнерах?
Да, в некоторых случаях может потребоваться удалить зубы мудрости, чтобы освободить пространство для коррекции других единиц зубного ряда.
Как ухаживать за силиконовыми каппами и зубами во время ортодонтической коррекции?
Элайнеры необходимо снимать каждый раз перед едой, чтобы не повредить конструкцию. После еды необходимо промыть полость рта и надеть их обратно.
Как долго нужно ходить с каппами?
Вы носите их 22 часа в сутки, снимаете только во время еды. Курс лечения определяет врач-ортодонт в зависимости от состояния Ваших зубов. Как правило курс составляет от 5 до 24 месяцев.
Мешают ли элайнеры говорить, посещать фитнес клуб, баню?
Не мешает, уже спустя 1-2 дня Вы привыкаете к ним, и даже сами перестаете чувствовать их у себя на зубах. Вы можете посещать бассейн, сауну, фитнес, тренажерный зал, не снимая их.
Что делать, если элайнеры сломаются?
Сломать их практически невозможно. Но если каппа сломалась необходимо немедленно обратиться к врачу! Врач обязательно вам подскажет, что необходимо будет сделать.
Есть ли альтернатива элайнерам?
Да, альтернатива есть! Исправление прикуса при помощи брекет-системы. Невозможно сразу сказать, сколько времени потребуется для получения ровной улыбки. Но вы обязательно получите заметный результат, наши специалисты берутся даже за очень сложные случаи.
Не откладывайте здоровье Ваших зубов на завтра
Запишитесь прямо сейчас
на осмотр и консультацию
на осмотр и консультацию