Виниры под ключ
- Гарантия на работу и виниры — 10 лет
- Стоматологи-ортопеды со стажем работы от 8 до 25 лет
- Рассрочка 0% до 6 месяцев
Виниры – это тонкие пластинки, изготовленные из керамики или композитного материала, которые крепятся на переднюю поверхность зубов. Они улучшают внешний вид зубов, могут скрыть разнообразные дефекты, такие как сколы, трещины, неровности, промежутки между зубами.
У вас есть шанс обрести идеально красивую улыбку, о которой вы всегда мечтали. Современные стоматологические технологии позволяют нам предоставить вам услугу "Виниры под ключ" – высокоэффективное решение для достижения идеальной улыбки без лишних усилий.
Термин "под ключ" в данном контексте подразумевает, что процесс создания и установки виниров включает в себя все этапы – от осмотра до окончательной установки – и обеспечивает полное качественное изменение внешнего вида зубов.
- Консультация, планирование
- Подготовительные работы
- Оттиск, моделирование
- Изготовление виниров
- Установка виниров
- Завершение и уход
"Виниры под ключ" позволяют добиться красивой улыбки с минимальным воздействием на ваши зубы. Их установка стала очень популярной в стоматологии, так как она объединяет высокую степень индивидуальности и профессионального подхода.
Цена на услугу "Виниры под ключ" может варьироваться в зависимости от особенностей каждого пациента. Чтобы получить точную стоимость или дополнительную информацию, мы приглашаем вас на консультацию к нашим специалистам. Они ответят на все ваши вопросы, расскажут подробности процесса, помогут определиться с лучшим планом действий. Для записи на прием воспользуйтесь формой обратной или позвонить по телефону.
Преимущества и особенности виниров под ключ
Установка виниров имеет множество преимуществ, которые делают ее привлекательной для пациентов, стремящихся улучшить вид своей улыбки. Она предполагает комплексный индивидуальный подход к каждому пациенту. Стоматолог анализирует анатомию ваших зубов, учитывает личные предпочтения, чтобы создать виниры, которые идеально подходят именно вам.
- Виниры создают натуральный внешний вид, сохраняя форму, цвет, текстуру.
- Процесс установки виниров часто требует меньше времени в сравнении с другими косметическими стоматологическими процедурами. Благодаря опыту стоматологов, современным технологиям, вы можете получить желаемый результат за относительно короткий срок.
- Процедура малоинвазивна, практически безболезненна.
- Качественные материалы, используемые при изготовлении виниров, обеспечивают их прочность, долгий срок службы. При правильном уходе виниры могут сохранять свой внешний вид и функциональность в течение многих лет.
Наши довольные пациенты делятся своим опытом после установки виниров. Ознакомьтесь с отзывами на сайте или в наших социальных сетях.
Сделайте шаг к совершенству вашей улыбки с услугой "Виниры под ключ" в стоматологии АЙСБЕРГ в Санкт-Петербурге. Мы гарантируем высокое качество, индивидуальный подход, результат, который оправдает ваши ожидания. Не упустите возможность обрести уверенность в своей улыбке – записывайтесь на прием уже сегодня!
Уход за винирами установленными под ключ
Рекомендации по уходу после установки виниров
- Соблюдайте хорошую гигиену полости рта. Чистите зубы дважды в день мягкой зубной щеткой с нежной зубной пастой.
- Используйте зубную нить или межзубные щетки для очистки между винирами и зубами.
- Ограничьте потребление окрашивающих продуктов, чтобы сохранить цвет виниров.
- Постарайтесь избегать сильных нагрузок на виниры, перекусывания твердых продуктов.
- Регулярно проходите профилактические осмотры у стоматолога для поддержания здоровья ваших виниров и естественных зубов.
Показания к установке виниров под ключ
- Дефекты эмали, включая сколы, трещины.
- Промежутки между зубами, которые хотели бы скрыть.
- Окрашивание зубов, которое мешает достичь белоснежной улыбки.
- Неровности или аномалии формы зубов, которые хотели бы исправить.
Противопоказания к установке виниров
- Тяжелые заболевания десен, полости рта
- Сильная степень пародонтоза
- Аллергические реакции
- Неустойчивость окклюзии (кусания)
- Недостаточное количество зубов
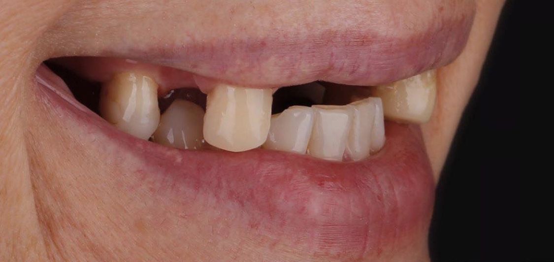
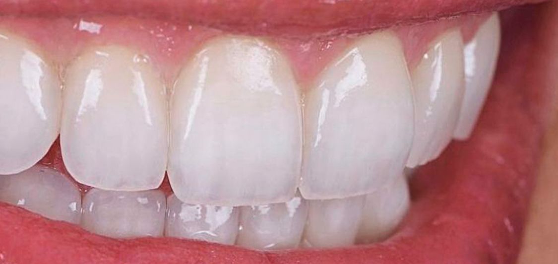
До и после установки виниров под ключ












Установку виниров под ключ проводят:
Не откладывайте здоровье Ваших зубов на завтра
на осмотр и консультацию










