Инструменты доступности

Перейти к содержимому



Коронки на зубы

  • Восстановление визуальных и жевательных функций улыбки с помощью протезирования коронками
  •  Восстановление зубов за 7-14 дней

Что такое коронка?

Коронка ─ это конструкция, полностью покрывающая все пять поверхностей зуба ─ жевательную, две контактные, щечную и язычную.

Как работает коронка?

Коронка связывает все поверхности зуба в единое целое и принимает на себя удар жевательной нагрузки. Коронка может сломаться, может произойти скол. Но даже, если коронка сломалась, зуб под ней остается целым, то есть защита в таком случае срабатывает.

Показания к применению

  • Крупная пломба, выходящая за пределы жевательной поверхности;

  • Разрушения более 50 % зуба;

  • Эстетические показания к изготовлению коронок, когда крупная пломба изменяет цвет на передних зубах, а конструкция винир рискует отвалиться от зуба при нагрузке.

  • Стираемость зубов при недостаточной минерализации тканей зубов, либо при нагрузке на зубы, вызванной повышенным тонусом жевательных мышц (особенно, в ночное время), а также травмой (скол).

  • Зуб с полностью разрушенной коронкой при наличии феррул-эффекта – толщины и высоты оставшегося зуба над десной после полного разрушения коронки.

  • Эстетические показания (цвет, форма). Ортодонтические показания, в случае, когда ортодонт менял прикус, наклон зубов, и остались щели между зубами, неоптимальное смыкание зубов (неудобное, нестабильное).

Противопоказания к изготовлению

  • Циркулярный кариес (кариес на всех поверхностях зубов, то есть в области шейки, пришеечной зоне, а также кариес, переходящий на корень зуба и глубокие поддесневые сколы;

  • Полное отсутствие коронковой части зуба, даже если можно этот зуб восстановить штифтом, поскольку приходится значительно углубляться под десну и располагать край коронки в зоне, где он в принципе не должен быть (то есть край коронки должен быть либо вровень с десной, либо заходить чуть под десну).

Преимущества протезирования зубов коронками

Эстетика
Коронки не впитывают красители и остаются по своим внешним характеристикам неизменным
Прочность
Коронки выдерживают повышенные жевательные нагрузки
Универсальность
Изготавливают как отдельные коронки, так и мостовидные протезы для восстановления нескольких зубов
Биосовместимость
Конструкции не окисляются, не вызывают аллергических реакций, а значит, подходят даже аллергикам
Долговечность
Коронки и мостовидные протезы могут прослужить более 15 лет, если протезирование выполнено профессионалами
Восстановите эстетику
улыбки
Всего 2-3 визита

Виды зубных коронок

Металлосодержащие коронки, цельнометаллические или цельнолитые (фрезерованные), чаще всего, из кобальтохромового сплава (КХС), сейчас делают редко, обычно в поликлиниках, поскольку это относительно дешевый вариант. Металлосодержащие коронки могут облицовываться:

  • пластмассой;

  • композитом с неким эстетическим эффектом;

  • керамикой, чаще всего делается металлокерамика;

  • металлический слой может быть, как стандартным из КХС кобальтохромового сплава, так и золотоплатиновым. Но эти технологии уже в прошлом.

Безметалловые коронки делятся по химическому составу материалов:

  • пластмассовые коронки;

  • композитные коронки;

  • коронки цельнокерамические из полевошпатной керамики (чаще этот материал используется для тонких виниров, которые коронками не являются);

  • коронки из дисиликата лития (чаще называются коронками e.max) ─ эстетичный полупрозрачный материал. Изготавливается в основном на передние зубы (премоляры);

  • коронки из оксида циркония (чаще называются “циркон-коронки”) используется для крупных зубов (моляров), принимающих на себя большую жевательную нагрузку. Существует два вида коронок из оксида циркония:

      • полная, цельная коронка из циркона с прокрашиванием, так называемая, полная анатомия;

      • коронка из оксида циркония с облицовкой керамикой, то есть циркон может покрываться керамикой.

Металлосодержащие зубные коронки
Безметалловые зубные коронки

Какие коронки на зубы лучше?

  • С точки зрения эстетики предпочтительнее дисиликат лития (e.max-коронки).

  • С точки зрения восстановлении функции и прочности жевательных зубов оксид циркония предпочтительнее.

  • С точки зрения бюджетной стороны, многие пациенты склоняются к более дешевым металлокерамическим коронкам, однако, эти коронки требуют большей обточки зубов, менее эстетично выглядят и в случае поломки сложнее ремонтируются.

Этапы установления:

1 этап
Ортопед оценивает количество оставшихся тканей. Ортопед дает задание терапевту о препарировании зуба, то есть замене старых пломб, подготовке тканей. Если тканей остается мало для взятия зуба под коронку, зуб рекомендуется удалить и поставить имплантат с коронкой. Если тканей достаточно, зуб восстанавливается либо пломбой, либо штифтовой конструкцией.
2 этап
Подготовка зуба под временную коронку, которая может быть изготовлена из композита, или из пластмассы. Временная коронка позволяет определить удобную форму для зуба. Временную коронку нужно носить некоторое время ─ от нескольких дней до нескольких месяцев в зависимости от клинической ситуации.
3 этап
Врач отмечает, в каком состоянии находятся мягкие ткани, например, десна, не просела ли она, не забивается ли пища между зубом и коронкой, удобно ли пациенту жевать, не скалывается ли что-либо с жевательной поверхности зуба. По результату принимается решение – либо пробовать новую форму временной коронки, либо остаться в рамках заданной формы.
4 этап
Ортопед передает информацию зубному технику в виде слепка (или скана), выполненного с зубного ряда. Далее ортопед получает рабочую модель с коронкой, делаются необходимые замеры и фиксация постоянной коронки.

Залог качественного и безболезненного лечения зубов —

выбор квалифицированного врача
Байрамов Самир Акифович
Октябрьская
Симонов Александр Анатольевич
Доблести, Ветеранов
Ровенская Анастасия Викторовна
Ветеранов
Новичихин Алексей Викторович
Ветеранов
Неверова Евгения Михайловна
Октябрьская
Кубачев Имам Умарович
Октябрьская
Сафронов Эдуард Владимирович
Октябрьская
Алиев Рустам Исламович
Доблести
Погодина Ольга Юрьевна
Доблести
Малафеев Владимир Анатольевич
Доблести

    Наши цены ниже рыночных на 19%

    Благодаря собственной зуботехнической лаборатории и прямым закупкам материалов у производителей.
    • Широкий спектр зуботехнических изделий: от временной коронки до высокоточных фрезерованных балочных конструкций
    • Изготовим за 1 день
    • Индивидуальный подход и контроль на всех этапах изготовления
    • Гарантии, прописанные в договоре

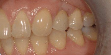
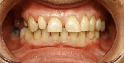
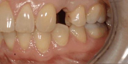
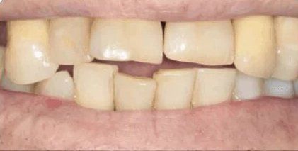
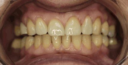
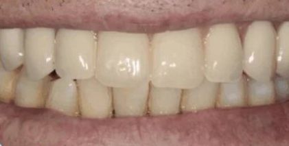
    Примеры работ

    После
    До
    После
    До
    После
    До

    Как правильно ухаживать за коронками?

    • Чистка зубов после каждого приема пищи по 2-3 минуты щеткой правильной жесткости – щетка средней жесткости для очищения самой конструкции, мягкая щетка для вычищения поддесневых отложений.

    • Зубные нити используются исключительно в области зубов или протезов на зубах. Нельзя использовать нити в области имплантатов, поскольку нарушается прикрепление десны к коронкам на имплантате, и пища, налёт, легко проникает в область соединения имплантата с костью. Лучше всего соединяется с десной конструкция из оксида циркония.

    • Жевательная резинка без сахара с содержанием ксилита и карбамида способствуют самоочищению зубов. Карбамид – это мочевина, препятствующая образованию бактерий в полости рта. Сегодня торговые компании почему-то не пишут состав жевательной резинки.

    • Различные ополаскиватели также улучшают флору. Но главное – это чистка зубов до получения конечного результата.

    • Профессиональная гигиеническая чистка полости рта у стоматолога не менее четырех раз в год.

    Особенности ношения для беременных женщин.

    В первый триместр, когда идет закладка плода, нужно воздерживаться от обезболивающих препаратов и планового посещения врача-стоматолога. По возможности посещать врача-стоматолога только в случае крайней необходимости. Показания ─ сильная боль, воспаление (особенно гнойное), ухудшение общего состояния пациента. В третий триместр есть опасность спровоцировать преждевременные роды.

    Лицензии

      Честные рейтинги и отзывы

      Не откладывайте здоровье Ваших зубов на завтра
      Запишитесь прямо сейчас
      на осмотр и консультацию