Причины воспаления при росте зуба мудрости
Основной причиной перикоронарита является уменьшение ширины зубной дуги у современного человека на 10-12 мм, при сохранении размеров зубов. Изменением размеров и обусловлен недостаток места на челюсти для зубов мудрости, что проявляется затрудненным прорезыванием и перикоронаритом.
Второй причиной перикоронарита являются эмбриологические условия прорезывания зубов: прорезывание зубов мудрости затруднено из-за утолщенных стенок зубного мешочка, который окружает коронку зуба и из-за толстой слизистой оболочки десны. Пониженные ростообразующие факторы тоже занимают важное место в развитии перикоронарита.
В патогенезе перикоронарита имеет значение тот факт, что на момент прорезывания зубов положение зуба практически не меняется, но часть жевательной поверхности прикрыта слизистой оболочкой. И под этим капюшоном скапливаются остатки пищи, зубной налет и микроорганизмы, что в итоге и вызывает специфическое воспаление – перикоронарит. Травматизация слизистой жевательной поверхности зубами-антагонистами во время жевания обуславливает поддерживание воспалительного процесса. И, в результате при перикоронарите возникают рубцовые изменения капюшона и расширение периодонтольной щели.
Клинические проявления
Основным проявлением перикоронарита является болевой синдром в области прорезывающегося зуба. Часто боль отдает в область виска или уха. В некоторых случаях затруднен процесс жевания и глотания пищи, а пациент испытывает трудности с открытием рта.
По мере развития перикоронарита воспалительный процесс переходит на окружающие ткани, болезненность в этом случае обусловлена вовлечением в воспалительный процесс капюшона десны, реже – неправильным положением прорезывающихся зубов. Если зуб мудрости прорезывается под наклоном, то перикоронарит имеет более выраженный характер, так как значительно повреждается десна и костная ткань, иногда давление на соседний зуб настолько велико, что может начаться его разрушение.
При перикоронарите повышается температура в области поражения, реже повышается температура тела, и увеличиваются регионарные лимфоузлы. Воспалительный процесс при перикоронарите является основной причиной неприятного запаха изо рта и неприятного привкуса во рту и во время еды.
Лечение осложнений
Основным методом лечения перекоронорита является хирургическое лечение — иссечение капюшона под местной анестезией.
При иссечении открывается поверхность прорезающегося зуба, вследствие чего зубной налет и микроорганизмы не скапливаются под капюшоном.
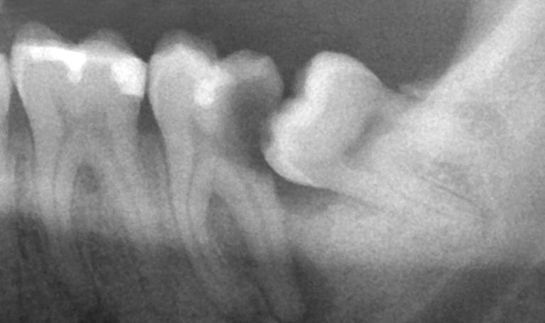
Экстракция зуба мудрости показана в том случае, если он находится в положении, при котором прорезывание невозможно. Это подтверждается рентгенологическим исследованием, удаление зуба проводят после снятия острых симптомов перикоронарита, после экстракции лунка зуба очищается, и накладываются швы. Назначают консервативную противовоспалительную и антибактериальную терапию.
Так как зуб мудрости не несет функциональной нагрузки, то при перикоронарите трудно поддающемуся лечению, зуб рекомендовано удалить. Рецидивирующий перикоронарит излечивается только после экстракции зуба мудрости.


